THE SCIENCE
NEW STANDARD OF MEDICAL SCIENCE
INTRODUCING DENDRIX®
OUR APPROACH
For years, dark spots and hyperpigmentation have been treated the same way by targeting only on melanin production. We believed there was a missing piece to the puzzle.
In collaboration with dermatologists, chemists, and biologists, we embarked on a journey to discover a more effective solution. After one year of research and testing hundreds of ingredients, our breakthrough finally came : Dendrix®.
HOW IT WORKS
Within our skin, melanocytes produce melanin, the pigment responsible for skin color and dark spots. When exposed to the sunlight, these cells develop tiny “arms” called dendrites, which transfer melanin to surrounding skin cells. The longer the dendrites, the more melanin is distributed, making dark spots appear more visible on the surface of the skin..
OUR INNOVATION
We asked ourselves : what if we could act directly on those dendrites?
By focusing on shortening them, we discovered a way to slow down melanin transfer right at its source. That’s the secret behind our exclusive patented innovation Dendrix®, created to reveal a clearer, more even complexion.
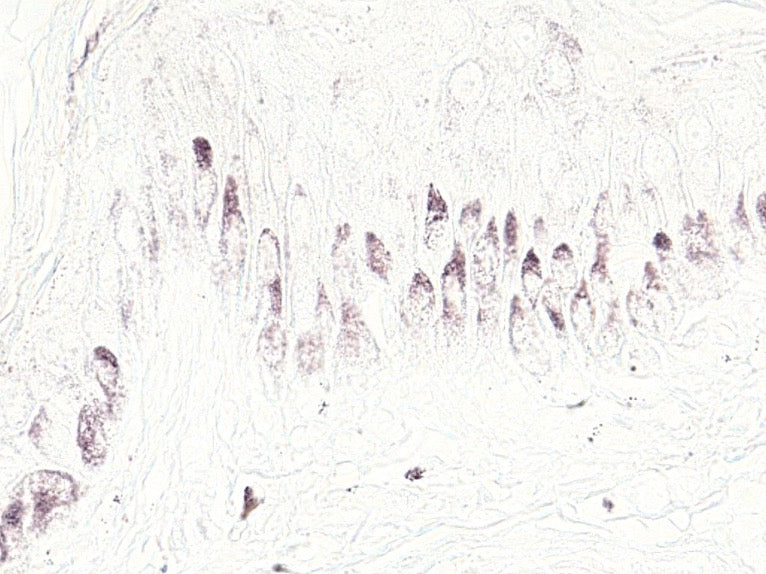
STUDY ON MELANOCYTES
To evaluate our patented technology Dendrix®, we conducted a study directly on melanocytes, the skin cells responsible for pigmentation. Under UV exposure, these cells normally extend dendrites that transfer melanin to surrounding skin cells.
With Dendrix®, dendrite growth was reduced by 44 percent compared to untreated cells. This result demonstrates a lower melanin transfer and a visible reduction of pigmentation at its source.
BEFORE
Melanocytes under UV
AFTER
Melanocytes under UV with Dendrix®
CLINICAL & SKIN EXPLANT STUDY
Our clinical study on human skin explants obtained from surgical procedures first demonstrated that our products are safe, non-toxic, and deliver powerful effects.
When exposed to UV rays, we observed that Dendrix® significantly reduced melanin production, even more effectively than hydroquinone, the reference standard for depigmenting efficacy. After nine days, results confirmed a strong reduction in melanin content, with up to 74% inhibition of melanin-producing cells compared to the control.
In the clinical study conducted on patients, results were equally remarkable : 100% of subjects showed an improvement in brown spot color, and 85% experienced a visible reduction in the size of brown spots.
AMOUNT OF MELANIN IN SKIN LAYER
These images from our skin explant study illustrate the presence of melanin in the epidermis. On the left, the colored patches show melanin cells after UV exposure without any treatment. On the right, melanin is shown after UV exposure with our product, MELANCLAIR Emulsion Concentrate A. A significant reduction in melanin cells can be clearly observed, highlighting the efficacy of our product.
Explore the collection
